Andrew Jung DDS
General and Cosmetic Dentistry
(562) 595-4147

In-Office Teeth Whitening, Porcelain Veneers

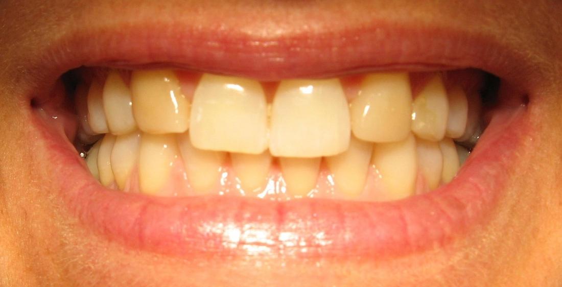
This patient didn't like the way her yellow front teeth detracted from her smile, and she also asked if we could even out the appearance of her front teeth to make them look longer. We solved her tooth discoloration with a simple in-office whitening treatment and used porcelain veneers to lengthen some of her upper front teeth.

Related Services:

Porcelain Veneers
Still need an appointment?
If you have difficulty using our website, please email us or call us at (562) 424-0777
View the ADA Accessibility Statement