Skip to main content
Cosmetic Dentistry
Your Smile, Only Better!

You won't believe how our customized cosmetic dental treatments can improve your self-confidence and make you want to smile again!

Cosmetic Dentistry | Dentist
Start Enjoying a More Beautiful Smile Right Away!
Schedule Now

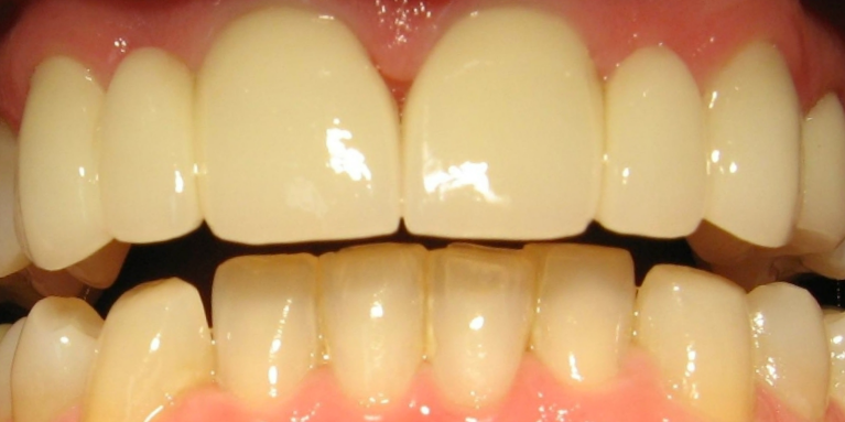
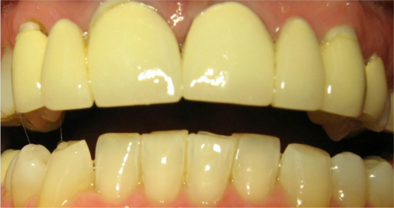
Cosmetic Dentistry in Long Beach, CA

It can be exciting to think about cosmetic dentistry and the ways it can improve your smile. How great will your teeth look after a whitening treatment? What will your smile look like with porcelain veneers?

Cosmetic dentistry provides us with the opportunity to transform your smile, and who doesn’t want that?

You may be thinking the price tag is a bit too high for your budget. But for over 25 years, Dr. Andrew R. Jung has been providing his patients with smile makeovers designed to fit all their needs – including their budget.

How Cosmetic Dentistry Can Help You

Cosmetic dentistry is about a lot more than veneers and teeth whitening!

Sure, these esthetic services will definitely do a lot for your smile. But Dr. Jung believes that any treatment you receive should improve your oral health and enhance your appearance.

Yes, it's possible to spend a lot on cosmetic smile makeovers, but you don’t have to! Today, we can use a variety of dental services to resolve all sorts of imperfections:

  • Stained or discolored teeth
  • Large gaps or uneven spaces between teeth
  • Teeth that appear too large or too small
  • Crooked or crowded teeth
  • Chipped, cracked, or broken teeth

Esthetic Dental Treatments

We can use esthetic dental treatments to resolve just about any problem that concerns you. We do this by applying a variety of methods to customize your cosmetic dental makeover:

  • Teeth Whitening – This is by far the most popular cosmetic treatment we provide at our Long Beach office. If you're interested in a whitening treatment that produces immediate results, we recommend our convenient in-office teeth whitening. If you would prefer to whiten at your convenience at home, our Ultradent take-home whitening kits are fast, easy, affordable, and produce remarkable results in a short time.
  • Porcelain Veneers – These thin slices of porcelain can be used to conceal all sorts of imperfections from severely stained teeth to mild misalignments. We can place veneers on just one tooth or several teeth.
  • Tooth-Colored Bonding – Bonding is an affordable esthetic treatment in which we use composite material to build up chips, cracks, or breaks. If you are thinking of veneers but are hesitant because of the cost, bonding is an affordable option to consider.
  • Porcelain Crowns – Crowns protect and strengthen damaged teeth, but they can do a lot more. Dr. Jung often uses crowns to conceal teeth that are stained, broken, or improperly shaped. Our esthetic crowns are metal free, so they will not create a black line where the crown meets the gum.
  • White Spot Removal – White spots, or flourosis, are the result of excess amounts of fluoride ingestion before teeth are fully developed. This is a very common complaint, and we can easily and affordably resolve the issue with a process called resin infiltration. This procedure uses a special material to penetrate and fill the enamel to eliminate white spots.

Which Treatments Are Right for You? Call Us for a Cosmetic Consultation!

As you can see, your options for transforming your smile are almost limitless. During your consultation, we will listen to your concerns so we understand how we can best help you. We will work together throughout the process to ensure that the results we achieve are exactly what you were hoping for.

Please call our Long Beach office to arrange a convenient consultation to discuss your needs. We look forward to taking the journey with you to a healthier, more beautiful smile!

Very Caring and Comfortable

My previous dentist retired, so I had to find a new one. I did extensive research before narrowing it down to two dentists, one of which was Dr. Jung. He had great reviews, so I called his office to find out more and spoke to Mylene, the front office manager. She was very friendly and helpful and took the time to explain Dr. Jung's experience and philosophy in caring for his clients. She also called my insurance company and explained the coverage I would have with Dr. Jung. Mylene was much more helpful than the other dentist's office I called, so I decided I would give Dr. Jung a try.
Dr. Jung is great, he is very caring and sensitive to my needs. I had a very horrific experience with my previous dentist's associate who literally jammed the anesthesia needle into my gum, since then I am extremely fearful of the needle. Dr. Jung uses a 3-step process to numb the area to be worked on. First is the topical, followed by a non-acidic numbing solution, and then the final anesthesia that completely numbs the area out. I have never been more comfortable with a dentist than Dr. Jung. I really liked my previous dentist, but must say Dr. Jung is the best. His assistant Nikki is excellent as well, very caring, swabs Vaseline on my lips to keep it from drying out during procedures.
Another thing that makes Dr. Jung stand out is he does not over-book. He only works on one patient at a time, so he is always focused on you. He is always on time, so I have never waited.
Yesterday, Dr. Jung put in 2 front teeth crowns and they look fantastic. The color match and shape is amazing! I am so happy! Even the temporary crowns were an amazing color match.
I highly recommend Dr. Jung, you will not be disappointed. - Lisa R.

Meet Our Doctor:

Andrew R. Jung DDS

Dr. Andrew Jung is a fourth-generation Californian. He attended California State University, Northridge and the University of the Pacific School of Dentistry. He is knowledgeable in the latest dental techniques and prides himself on providing excellent care. He is committed to using the most proven and safe procedures, and he always strives to have a gentle touch. Dr. Jung uses the best dental materials available in order to provide quality care, and he has earned a reputation in the community as a superior clinician with high integrity. His interests include ...

Make an Appointment for your Smile Consultation
Schedule Now