Andrew Jung DDS
General and Cosmetic Dentistry
(562) 595-4147

Metal-Free Crowns, Porcelain Veneers

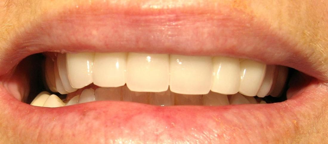
Crooked and uneven teeth were marring this patient’s smile and making her feel self-conscious. Since her crooked teeth weren’t related to bite problems, we were able to use metal-free crowns and porcelain veneers to conceal the shape of her teeth and create a smile she’s proud to show off.

Related Services:

Porcelain Veneers
Have Questions? Get in Touch
If you have difficulty using our website, please email us or call us at (562) 424-0777
View the ADA Accessibility Statement