Andrew Jung DDS
General and Cosmetic Dentistry
(562) 595-4147

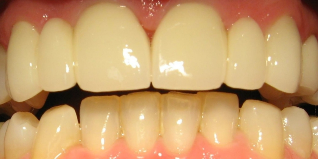
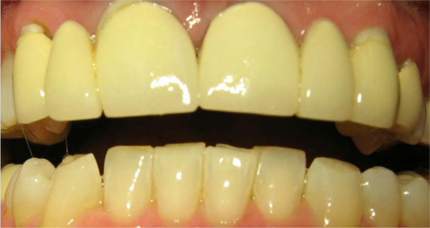
Metal-Free Bridges

This patient was unhappy with the artificial appearance of an existing metal-fused-to-porcelain bridge on her upper teeth. We were able to create a smile transformation by altering the color, shape, and size of her teeth with a metal-free porcelain bridge for a more natural appearance.

Related Services:

Cosmetic Dentistry
Ready to book an appointment?
If you have difficulty using our website, please email us or call us at (562) 424-0777
View the ADA Accessibility Statement